icon icon icon

Bài 2: Ăn Mòn Trong Hệ Thống Phòng Cháy Chữa Cháy

Đăng bởi Hoàng Cường vào lúc 06/06/2025

Ăn Mòn Và Biện Pháp Chống Ăn Mòn Trong Hệ Thống PCCC

Bài 2: Ăn Mòn Trong Hệ Thống Phòng Cháy Chữa Cháy

Ăn Mòn Và Biện Pháp Chống Ăn Mòn Trong PCCC - Bài 2: Ăn Mòn Trong Hệ Thống PCCC

4. ĂN MÒN TRONG HỆ THỐNG PHÒNG CHÁY CHỮA CHÁY | Corrosion In Fire Protection Systems

Ăn mòn kim loại xảy ra khi kim loại phản ứng với môi trường, đặc biệt là nước hoặc độ ẩm, tạo thành quá trình điện hóa gồm hai phần:

Phản ứng tại cực dương (anode): kim loại bị oxy hóa thành ion và mất electron.
Ví dụ:

  • Fe → Fe²⁺ + 2e⁻
  • Zn → Zn²⁺ + 2e⁻
  • Cu → Cu²⁺ + 2e⁻

Phản ứng tại cực âm (cathode): electron được tiêu thụ trong phản ứng khử, phổ biến nhất là:

  • Trong môi trường axit:
    • 2H⁺ + 2e⁻ → H₂
    • O₂ + 4H⁺ + 4e⁻ → 2H₂O
  • Trong môi trường trung tính/kiềm:
    • O₂ + 2H₂O + 4e⁻ → 4OH⁻

📌 Khi hệ thống PCCC sử dụng nước có chứa oxy, quá trình ăn mòn sẽ tiếp diễn cho đến khi oxy bị tiêu hao hết qua các phản ứng trên.

Hình minh họa sơ đồ ăn mòn sắt (Fe) trong nước. Sắt hòa tan thành Fe²⁺ tại cực dương, giải phóng electron (e⁻) phản ứng với O₂ và nước tạo thành ion hydroxide (OH⁻) tại cực âm

Hình 4.1 – Minh họa sơ đồ ăn mòn sắt (Fe) trong nước. Sắt hòa tan thành Fe²⁺ tại cực dương, giải phóng electron (e⁻) phản ứng với O₂ và nước tạo thành ion hydroxide (OH⁻) tại cực âm

4.1 Các dạng ăn mòn

4.1.1 Ăn mòn đều (Uniform Corrosion)

Là dạng ăn mòn xảy ra đồng đều trên toàn bộ bề mặt kim loại tiếp xúc với nước hoặc không khí ẩm. Đây là dạng phổ biến nhất, dễ quan sát, và thường tạo thành một lớp gỉ sét màu nâu đỏ (Fe₂O₃·nH₂O hoặc FeO(OH)). Mặc dù dễ nhận biết, ăn mòn đều vẫn có thể gây ra giảm độ dày thành ống và ảnh hưởng đến độ bền kết cấu.

Ví dụ: Các mối nối ren của ống thép trong hệ thống ống ướt thường xuất hiện lớp gỉ đỏ nâu bao quanh, do nước rò rỉ và oxy hóa kim loại đều khắp bề mặt.

Hình ăn mòn đều tại các khớp nối ống thép sprinkler (đường kính 2 inch) trong hệ thống ống ướt do rò rỉ nước qua các mối ren

Hình 4.2 – Ăn mòn đều tại các khớp nối ống thép sprinkler (đường kính 2 inch) trong hệ thống ống ướt do rò rỉ nước qua các mối ren.

4.1.2 Ăn mòn điện hóa (Galvanic Corrosion)

Xảy ra khi hai kim loại khác nhau tiếp xúc điện với nhau trong môi trường ẩm ướt, tạo thành cặp điện hóa. Kim loại có thế điện cực thấp hơn sẽ bị ăn mòn nhanh hơn (đóng vai trò anode).

Ví dụ: Khi ống thép (ít quý hơn) tiếp xúc trực tiếp với tấm inox (quý hơn), phần ống thép sẽ bị ăn mòn nhanh chóng nếu không có cách điện phù hợp.

Ảnh chụp hư hỏng ăn mòn điện hóa tại điểm tiếp xúc giữa thép (anode) và tấm thép không gỉ lớn (cathode) trong môi trường độ ẩm cao

Hình 4.3 – Ảnh chụp hư hỏng ăn mòn điện hóa tại điểm tiếp xúc giữa thép (anode) và tấm thép không gỉ lớn (cathode) trong môi trường độ ẩm cao.

4.1.3 Ăn mòn cục bộ (Pitting Corrosion)

Là dạng ăn mòn rất nguy hiểm do tạo thành các lỗ nhỏ, sâu và rất khó phát hiện từ bên ngoài. Các điểm ăn mòn này thường nằm bên dưới lớp cặn sắt (tubercles), nơi có nồng độ oxy thấp hơn xung quanh, tạo điều kiện thuận lợi cho phản ứng ăn mòn gia tăng.

Hậu quả: Có thể gây rò rỉ xuyên thành ống (pinhole leaks), đặc biệt tại đáy ống – nơi nước đọng lại lâu nhất.

Ảnh SEM cho thấy các vết rỗ trên bề mặt kim loại

Hình 4.4 – Ảnh SEM cho thấy các vết rỗ trên bề mặt kim loại.

(A) Rò rỉ xuyên thành do ăn mòn rỗ tại đáy ống sprinkler thép mạ kẽm NPS 3 trong hệ ống khô.

(B) Tương tự trên ống thép đen trong hệ ống ướt.

Hình 4.5 – (A) Rò rỉ xuyên thành do ăn mòn rỗ tại đáy ống sprinkler thép mạ kẽm NPS 3 trong hệ ống khô. (B) Tương tự trên ống thép đen trong hệ ống ướt.

4.1.4 Ăn mòn khe (Crevice Corrosion)

Xảy ra tại các vùng bị che khuất, nơi có khe hở nhỏ giữa các bề mặt kim loại hoặc giữa kim loại với vật liệu khác như ron, lớp phủ,... Sự khác biệt nồng độ oxy giữa trong và ngoài khe tạo ra môi trường ăn mòn cục bộ rất mạnh.

Vị trí thường gặp: Gầm ốc vít, khớp nối, ren bịt kín, vòng đệm cao su...

Hình ăn mòn khe cục bộ trên phiến kim loại đặt dưới vòng đệm PTFE ở 75°C sau 48 giờ

Hình 4.6 – Ăn mòn khe cục bộ trên phiến kim loại đặt dưới vòng đệm PTFE ở 75°C sau 48 giờ.

4.1.5 Ăn mòn chọn lọc (Selective Leaching)

Là hiện tượng trong đó một thành phần kim loại trong hợp kim bị loại bỏ chọn lọc khỏi cấu trúc, làm yếu vật liệu. Ví dụ điển hình là quá trình khử kẽm (dezincification) trong hợp kim đồng–kẽm (brass) và hiện tượng ăn mòn graphit hóa trong gang xám.

Ví dụ: Ống gang bị mất sắt, để lại cấu trúc xốp chứa chủ yếu là graphit, giòn và dễ vỡ.

Hình Ống nước ngầm (đường kính 8 inch) bị phá hủy do ăn mòn graphit hóa

Hình 4.7 – Ống nước ngầm (đường kính 8 inch) bị phá hủy do ăn mòn graphit hóa.

Hình Mặt cắt ngang của ống trong Hình 4.7 cho thấy gần như toàn bộ thành ống đã bị ăn mòn graphit

Hình 4.8 – Mặt cắt ngang của ống trong Hình 4.7 cho thấy gần như toàn bộ thành ống đã bị ăn mòn graphit.

4.1.6 Ăn mòn do dòng chảy (Erosion Corrosion)

Xảy ra khi dòng chảy của chất lỏng có tốc độ cao hoặc xoáy mạnh làm mòn bề mặt kim loại, đặc biệt tại các vị trí đổi hướng (cút, co, tê). Khi kết hợp với ăn mòn hóa học, tốc độ phá hủy sẽ tăng nhanh.

Biểu hiện: Vết xước theo hướng dòng chảy, lỗ thủng hình elip, vùng kim loại bị bào mòn mịn và rộng.

Hình Ăn mòn do dòng chảy (kéo dài theo hướng dòng nước) trong đường ống nước sinh hoạt bằng đồng

Hình 4.9 – Ăn mòn do dòng chảy (kéo dài theo hướng dòng nước) trong đường ống nước sinh hoạt bằng đồng.

Hình (A) Vỡ nứt SCC trên đầu phun bằng đồng sau thử nghiệm với amonia

Hình (B) Ảnh SEM của bề mặt gãy.

Hình 4.10 – (A) Vỡ nứt SCC trên đầu phun bằng đồng sau thử nghiệm với amonia. (B) Ảnh SEM của bề mặt gãy.

4.1.7 Ăn mòn do môi trường gây nứt (Environmentally Induced Cracking)

Gồm ba dạng phổ biến:

  • Nứt do ăn mòn ứng suất (SCC)
  • Nứt do ăn mòn mỏi (corrosion fatigue)
  • Nứt do hydro (hydrogen-induced cracking)

Những vết nứt này xảy ra khi có sự kết hợp giữa tải trọng cơ học và môi trường ăn mòn, có thể dẫn đến gãy giòn bất ngờ.

Ví dụ thực tế: Sprinkler bằng đồng thau có thể bị nứt do SCC trong môi trường chứa hơi amoniac.

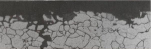
4.1.8 Ăn mòn khe hạt (Intergranular Corrosion)

Là dạng ăn mòn xảy ra dọc theo ranh giới hạt tinh thể của kim loại. Nguyên nhân là do các vùng ranh giới này có thành phần hóa học khác với khối hạt, dễ bị hòa tan hơn trong môi trường ăn mòn.

Ảnh hưởng: Gây suy yếu cấu trúc kim loại, đặc biệt nghiêm trọng với inox nếu bị "nhạy cảm hóa" (sensitization).

Ảnh hiển vi cho thấy ăn mòn khe hạt dọc theo ranh giới hạt thép.

Hình 4.11 – Ảnh hiển vi cho thấy ăn mòn khe hạt dọc theo ranh giới hạt thép.

4.1.9 Ăn mòn do vi sinh vật (Microbiologically Influenced Corrosion – MIC)

Xảy ra khi vi khuẩn, nấm hoặc tảo phát triển trên bề mặt kim loại, tạo lớp màng sinh học (biofilm). Các sản phẩm chuyển hóa của chúng làm thay đổi cục bộ hóa học nước, dẫn đến ăn mòn nhanh và cục bộ.

Các vi khuẩn thường gặp:

  • Vi khuẩn khử sulfat (SRB)
  • Vi khuẩn oxy hóa sắt (IOB)
  • Vi khuẩn sinh axit (APB)
  • Vi khuẩn tạo chất nhầy (SFB)

Hậu quả: Tạo mảng tubercle lớn, gây tắc nghẽn và rò rỉ cục bộ, đặc biệt nguy hiểm vì rất khó phát hiện sớm.

Hình Minh họa quá trình hình thành màng sinh học và ăn mòn do vi sinh vật (MIC)

Hình 4.12 – Minh họa quá trình hình thành màng sinh học và ăn mòn do vi sinh vật (MIC).

Ảnh SEM đại diện cho vi khuẩn trên bề mặt thép ăn mòn – có thể là Leptothrix ochracea.

Hình 4.13 – Ảnh SEM đại diện cho vi khuẩn trên bề mặt thép ăn mòn – có thể là Leptothrix ochracea.

Ảnh SEM của vi khuẩn khử sulfate Desulfovibrio sp. trên bề mặt thép mạ kẽm sau 8 giờ ủ.

Hình 4.14 – Ảnh SEM của vi khuẩn khử sulfate Desulfovibrio sp. trên bề mặt thép mạ kẽm sau 8 giờ ủ.

Hình Ống sprinkler thép (đường kính 4 inch) bị ăn mòn và rò rỉ, với nhiều mụn ăn mòn. MIC do vi khuẩn SRB là nguyên nhân chính.

Hình 4.15 – Ống sprinkler thép (đường kính 4 inch) bị ăn mòn và rò rỉ, với nhiều mụn ăn mòn. MIC do vi khuẩn SRB là nguyên nhân chính.

 

4.2 Hình thành mảng ăn mòn trong ống (Tuberculation)

Tuberculation là hiện tượng hình thành các mảng gỉ sắt lồi (tubercles) dạng khối tròn hoặc nhọn trên bề mặt trong của ống thép hoặc ống mạ kẽm. Các mảng này được tạo thành do sản phẩm ăn mòn tích tụ lâu ngày, thường có màu nâu đỏ hoặc đen.

Hiện tượng này là một trong những biểu hiện phổ biến và nghiêm trọng nhất của ăn mòn trong hệ thống PCCC.

 

Hình (A) Mụn ăn mòn hình thành bên trong ống thép (4 inch)

Hình (B) Rò rỉ lỗ kim (khoanh tròn) trên ống thép trong hệ ống ướt

Hình 4.16 – (A) Mụn ăn mòn hình thành bên trong ống thép (4 inch). (B) Rò rỉ lỗ kim (khoanh tròn) trên ống thép trong hệ ống ướt.

4.2.1 Mảng ăn mòn trong hệ thống ống ướt – Ống thép (Wet Pipe – Steel Pipe)

  • Trong hệ thống ống ướt, nước chứa oxy liên tục tiếp xúc với mặt trong ống thép → phản ứng oxy hóa xảy ra, tạo lớp gỉ và dần hình thành mảng tubercle.
  • Mảng này thường bao gồm hydroxide sắt (Fe(OH)₃), có màu nâu đỏ.
  • Bên dưới mảng gỉ là khu vực bị ăn mòn mạnh, có thể hình thành lỗ thủng xuyên thành (pinhole leak) nếu không xử lý sớm.

Hình (A) Mụn ăn mòn trên ống thép mạ kẽm (4 inch) trong hệ ống khô Hình (B) Rò rỉ xuyên thành bên dưới mụn (đã gỡ bỏ)

Hình 4.17 – (A) Mụn ăn mòn trên ống thép mạ kẽm (4 inch) trong hệ ống khô. (B) Rò rỉ xuyên thành bên dưới mụn (đã gỡ bỏ).

🔍 Hình ảnh thực tế cho thấy nhiều ống đường kính 4 inch trong hệ thống sprinkler có mảng gỉ phủ dày và thủng tại điểm tiếp giáp với đáy ống.

4.2.2 Mảng ăn mòn trong hệ thống ống khô – Ống thép mạ kẽm (Dry/Preaction – Galvanized Steel Pipe)

  • Ống khô hoặc preaction thường dùng ống mạ kẽm, nhưng nếu có nước đọng lại bên trong, lớp mạ kẽm (Zn) sẽ bị hòa tan trước, để lộ lớp thép bên dưới.
  • Sự hiện diện của oxy, ion Cl⁻ và SO₄²⁻ trong nước đọng thúc đẩy nhanh quá trình ăn mòn.
  • Mảng tubercle trong trường hợp này có thể chứa zinc oxide (ZnO) hoặc zinc hydroxide (Zn(OH)₂) trên vùng không bị ăn mòn.

⚠️ Mảng tubercle trong ống mạ kẽm có thể che khuất các điểm ăn mòn nặng bên dưới, gây thủng ống mà không hề có dấu hiệu rõ ràng từ bên ngoài.

4.2.3 Mảng ăn mòn do vi sinh vật (MIC Tubercles)

  • MIC là nguyên nhân góp phần hình thành tubercle đặc biệt phức tạp. Vi khuẩn tạo màng sinh học và thay đổi hóa học nước cục bộ, thúc đẩy phản ứng oxy hóa.
  • MIC thường liên quan đến vi khuẩn khử sulfat (SRB) hoặc vi khuẩn oxy hóa sắt (IOB).
  • Mảng tubercle do MIC thường có hình dạng bất thường, đôi khi rỗng ruột hoặc tạo khoang chứa chất lỏng ăn mòn.

Bản vẽ cấu trúc 5 thành phần chính của mụn ăn mòn không do MIC

Hình 4.18 – Bản vẽ cấu trúc 5 thành phần chính của mụn ăn mòn không do MIC.

🧫 Kết quả phân tích bằng kính hiển vi điện tử (SEM) cho thấy nhiều mảng tubercle chứa vi khuẩn hình que như Desulfovibrio sp. bám trên bề mặt ăn mòn.

4.2.4 Mảng ăn mòn không do vi sinh vật (Non-MIC Tubercles)

  • Ngay cả khi không có vi khuẩn, tubercle vẫn có thể hình thành do nước có thành phần hóa học ăn mòn cao, ví dụ: nước chưa xử lý, có nhiều Cl⁻, SO₄²⁻ hoặc pH thấp.
  • Vị trí hay gặp: các đoạn ống đọng nước, khu vực dòng chảy yếu, đầu ống cụt.

4.2.5 Đặc điểm cấu trúc của tubercle

Theo các nghiên cứu, một tubercle thường gồm 5 phần cấu trúc:

  1. Vỏ ngoài (Outer Crust) – Gồm hydroxide sắt và khoáng chất kết tủa, có màu nâu/đỏ
  2. Lớp vỏ trong (Inner Shell) – Vùng ít oxy, chứa magnetite (Fe₃O₄), dẫn điện tốt
  3. Lõi (Core Material) – Chủ yếu là Fe(OH)₂ hoặc FeCO₃, rắn và xốp
  4. Khoang chứa dịch (Fluid-Filled Cavity) – Vùng rỗng chứa nước ăn mòn có pH thấp
  5. Đáy bị ăn mòn (Corroded Floor) – Vị trí ăn mòn mạnh nhất, có thể thủng

Hình Mặt cắt ngang của mụn ăn mòn không do MIC trong ống thép NPS 4 Schedule 10

Hình 4.19 – Mặt cắt ngang của mụn ăn mòn không do MIC trong ống thép NPS 4 Schedule 10.

📷 Các ảnh mặt cắt của tubercle cho thấy hình dạng khoang rỗng bất thường và lớp gỉ phủ dày.

---------------------------

Chuỗi bài 'ĂN MÒN VÀ BIỆN PHÁP CHỐNG ĂN MÒN TRONG HỆ THỐNG PCCC'

  1. Bài 1: Các Tiêu Chuẩn Hiện Hành
  2. Bài 3: Ăn Mòn Trong Hệ Thống Phòng Cháy Chữa Cháy (tiếp theo)
  3. Bài 4: Các Ví Dụ Thực Tế Về Ăn Mòn Và Rò Rỉ Trong Hệ Thống PCCC
  4. Bài 5: Biện Pháp Giảm Thiểu Ăn Mòn Trong Hệ Thống PCCC
  5. Bài 6: Tổng Kết, Kết Luận Và Khuyến Nghị
Tags : ảnh hưởng của ăn mòn đến ống thép pccc ăn mòn ăn mòn kim loại ăn mòn trong hệ thống phòng cháy chữa cháy ăn mòn điện hóa trong đường ống pccc các loại phản ứng ăn mòn trong pccc cơ chế ăn mòn kim loại trong pccc giải thích hiện tượng ăn mòn kim loại pccc hệ thống chữa cháy nguyên nhân ăn mòn hệ thống chữa cháy ống cpvc ống thép pccc phân tích ăn mòn trong hệ chữa cháy phản ứng hóa học phản ứng điện hóa gây ăn mòn phòng cháy chữa cháy sprinkler vì sao hệ thống pccc bị rỉ sét điện hóa
VIẾT BÌNH LUẬN CỦA BẠN:

DỰ ÁN